預約專線:文山區(02)2239-0665 / 中山區(02)2531-8280
三代生物能 服務項目
牙周病免開刀雷射治療
生物能微創無痛植牙
類真牙 西德3D齒雕
生物能齒列快速矯正
參代牙醫 服務項目
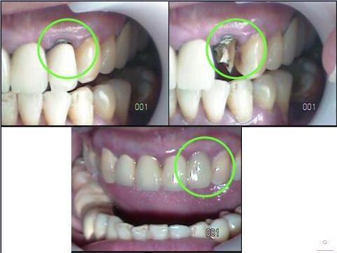
療程實例-3D齒雕
療程實例-牙周病雷射
療程實例-無痛植牙
療程實例-3D齒雕
一.不良金屬牙套引起氧化(以3D齒雕
牙套
完美修復)
二.大蛀牙或根管治療的牙齒(以
崁入式
3D齒雕完美修復)
三.牙色美白及門牙矯正美容整形(以3D齒雕
貼片
完美修復)