
Q(19).為甚麼『叁代』覺得齒槽骨比牙齒重要?
A:「外行人看的是牙齒,牙醫師看的是齒槽骨」。牙齒好
比是樓房,齒槽骨好比是地基,有良好的地基,就可以
建築101大樓。
Q(20).為甚麼『叁代』要用無金屬假牙?
A:1.金屬會氧化,傷及牙周、牙齦變及腫。
2.吞入氧化物(重金屬)身體不易排出。
3.金屬氧化會放電,導致神經系統受損。


Q(21).為甚麼『叁代』要擁有牙科以外的醫療設備?
A:『叁代』牙科已經不單只是治療牙齒,她是結合了自然醫學的理論,
進入了全身醫學的一部份,把牙醫提升到另一個新境界。擁有牙科以
外的醫療設備可以評估患者身體的最大負荷度與能量,避免治療過程
中使免疫系統受到破壞,真正做到保護每個人全身的健康,使每個人
真正走向健康之路。


Q(22). 如何治療牙周病 ?
A:傳統治療牙周病的方式,採用翻瓣、挖除等手術,切開牙齦, 挖掉受
感染的牙肉及齒骨的部分。術後難免牙齦萎縮,齒骨流失,牙縫變
大,甚至因為齒根暴露,而引起的酸痛等不適感。
叁代診所採用世界最先進的雷射 , 配合自然醫學的療法 , 從口腔深入
全身 , 不同於一般治療牙周的方式, 而是對人體最好及最完善的方式。
細胞充電→雷射殺菌→ 雷射再生 , 目的在幫助患者能誘發其自體的免
疫系統 , 以達到身體自我保護和自我再造的功能 ; 雷射不僅能在身體
啟動自體免疫系統之前, 迅速且無害地消滅牙齒中的細菌 , 免去傳統上
治療過程中的疼痛和治療後的不舒服 ,並且在消滅牙周病菌的同時,
全身引流而達到全身性排毒; 更重要的是 , 它能幫助細胞再造 , 給我
們一個更健康的身體 。
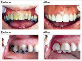
Q(23).三代診所牙周病的治療與一般診所比較有何不一樣? 如果 結果 牙周病 以傳統療法 (牙齦刮勺、翻瓣手術) 除去感染的牙齦和骨頭,雖說恢復健康,但也破壞地基平衡。 牙周病 以生物能療法(無痛雷射、免開刀),使用雷射治療 1.光熱效應->>徹底滅菌 2.光刺激效應->>骨頭再生 3.放血效應->>毒從口出,氣血暢通,由口腔改善全身健康
Q(24).三代診所植牙方式與一般診所比較有何不一樣?
|
|
如果 |
結果 |
|
植牙 |
以傳統植牙 |
易造成皮肉傷,及手術後併發症與疼痛 |
|
植牙 |
以生物能植牙 |
微創植牙以雷射幫助骨質再生,施以生物能療法與生化雷射針灸,特色是無痛、無腫、無流血、免開刀 |
Q(25)3D齒雕-治療篇
|
|
如果 |
結果 |
|
蛀牙 |
採用傳統 “水銀粉 ” 充填 |
水銀粉氧化後,產生隙縫,會形成二次蛀牙;此外,也會釋出毒性有機汞,長期會導致神經系統和全身的病變 |
|
蛀牙 |
採用採用“複合樹脂”充填 |
剛補雖然美觀,但易變色、會收縮,形成二次蛀牙;會釋出酸性物質,導致牙齦發炎和齒髓神經壞死 |
|
蛀牙 |
採用採用西德研發全瓷法瑯的 “ 3D齒雕 ”充填 |
生物相容性高,不用擔心二次蛀牙;此外,外觀似真牙,相當自然,是目前最理想的修復物 |










